U bolnici u Coventryju u Engleskoj zabilježen je slučaj 33-godišnjeg muškarca koji se srušio zbog infekcije uzrokovane komadićem vate sa štapića za uši koji mu je ostao u uhu.
Patio je od napadaja, povraćanja, glavobolja i boli u lijevom uhu, a ispričao je da se u danima prije dolaska u bolnicu nije mogao sjetiti ni imena bliskih mu ljudi. Tada je počeo i povraćati, a kada se onesvijestio, završio je u bolnici.
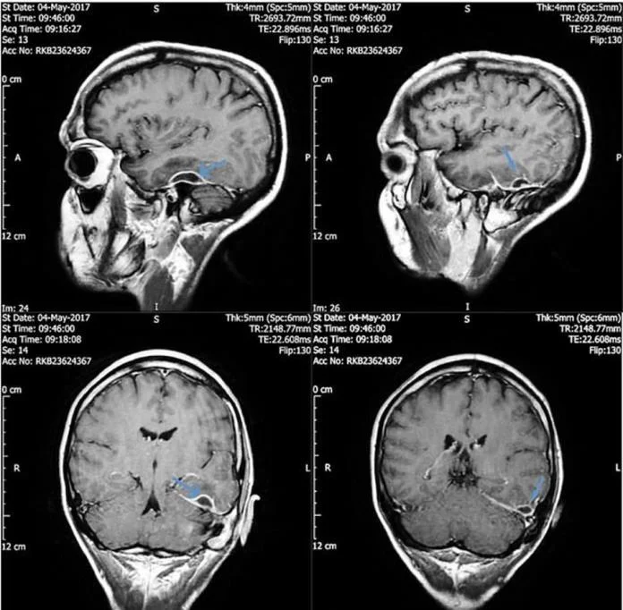
Njegov ga je porodični doktor bezuspješno liječio od jake infekcije uha. Kada su mu po dolasku u bolnicu u Coventryju snimili lubanju, doktori su vidjeli u čemu je zapravo problem. Prošlogodišnji slučaj je otorinolaringolog Alexander Charlton nedavno opisao za medicinski časopis BMJ Case Reports. Tu je opisao da je pacijent zadnjih pet godina imao problema s boli u lijevom uhu, a da je povremeno u tom uhu i gubio sluh.
– Iako je negirao druge neurološke probleme, pacijent je rekao da zaboravlja imena u zadnje vrijeme – napisao je dr. Charlton.
Doktori koji su ga pregledali ustvrdili su da nema temperaturu, i da je fizički u odličnom stanju. Pokušali su ga liječiti i turom antibiotika, za slučaj da je riječ o meningitisu. Kada ni to nije dalo rezultate odlučili su pobliže pogledati samo uho.
Vidjeli su da mu je unutrašnjost ušnog kanala upaljena, i ispunjena komadićima vate. Nije objašnjeno koliko dugo su ti komadići, koji su uzrokovali ranice i upalu, bili u uhu pacijenta, s obzirom na to da je pet godina imao probleme s tim uhom.
Izvukli su vatu muškarcu iz uha i dijagnosticirali mu rijetku upalu zvanu nekrotizirajući otitis. Infekcije uha obično uzrokuje bakterija i pogađaju kanal uha i okolnu kost, ili kao kod ovog pacijenta i okolno tkivo, ali ne i mozak. Snimke su pokazale da se kod njega stvorio gnoj između kosti lubanje i mozga.
Nakon šest dana intravenoznog antibiotika, količina gnoja se smanjila. Neimenovani pacijent se potpuno oporavio za deset tjedana. Doktori su napisali da je tura antibiotika izliječila upalu te da pacijent nije imao daljnjih neuroloških problema.

Pratite nas i na Twitteru, Facebooku i Instagramu.
