Tag: INZ
Novi set instrukcija INZ-a namijenjen ustanovama za brigu o djeci i...
Institut za zdravlje i sigurnost hrane Zenica (INZ) je, na osnovu Zaključka Federalnog štaba civilne zaštite, izradio niz setova procedura za početak rada ustanova...
Stres u doba pandemije i izolacije: Kako nastaje i kako ga...
U obraćanjima zdravstvenih radnika i zvaničnika Civilne zaštite, a vezi sa aktuelnom pandemijom uzrokovanom koronavirusom, često se ističe da nema mjesta za paniku, ali...
Samovoljno ili prekomjerno korištenje antibiotika veća je opasnost za ljude od...
Svjetska zdravstvena organizacija (SZO - eng. WHO-World health organisation) je ustanovila Svjetsku sedmica svijesti o antibioticima, koja ima za cilj povećati svijest o globalnoj...
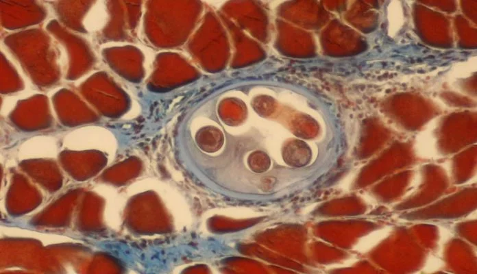
Upozorenje na trihinelozu, prisutna prijetnja u mesu
Utvrđivanje pozitivnih nalaza u parazitološkoj laboratoriji Instituta za zdravlje i sigurnost hrane Zenica, u uzorcima mesa domaćih i divljih svinja, na prisustvo larvi Trihinella...
Održana tribina u Zenici “Utjecaji zagađenja zraka na javno zdravlje”
Institut za zdravlje i sigurnost hrane ZDK i Eko forum Zenica, u saradnji sa Američkom ambasadom u Sarajevu organizovali su u četvrtak uvečer u...
Edukativna radionica o dijabetesu u zeničkoj školi
Povodom obilježavanja Svjetskog dana dijabetesa, 14. novembra, Savez udruženja dijabetičara Zeničko - dobojskog kantona u partnerstvu sa Institutom za zdravlje i sigurnost hrane Zenica,...
Akcija besplatnog mjerenja šećera u krvi širom ZDK
Povodom Svjetskog dana dijabetesa, Institut za zdravlje i sigurnost hrane Zenica, u saradnji sa Savezom udruženja dijabetičara u Zeničko-dobojskom kantonu, organizuje niz manifestacija i...
Do kraja novembra besplatna dijagnostika u Institutu za zdravlje i sigurnost...
Institut za zdravlje i sigurnost hrane Zenica provodi dva projekta po Programu Kantonalnog ministarstva poljoprivrede, šumarstva i vodoprivrede ZDK, značajna zbog zdravlja životinja i...








